Prepare for the ARDMS AE Adult Echocardiography Examination exam with our extensive collection of questions and answers. These practice Q&A are updated according to the latest syllabus, providing you with the tools needed to review and test your knowledge.
QA4Exam focus on the latest syllabus and exam objectives, our practice Q&A are designed to help you identify key topics and solidify your understanding. By focusing on the core curriculum, These Questions & Answers helps you cover all the essential topics, ensuring you're well-prepared for every section of the exam. Each question comes with a detailed explanation, offering valuable insights and helping you to learn from your mistakes. Whether you're looking to assess your progress or dive deeper into complex topics, our updated Q&A will provide the support you need to confidently approach the ARDMS AE-Adult-Echocardiography exam and achieve success.
Which type of mass is typically attached to the fossa ovalis of the left atrium?
Atrial myxomas are the most common primary cardiac tumors in adults and are typically attached to the interatrial septum at the fossa ovalis region of the left atrium. These tumors often arise from a stalk and are mobile masses that may cause obstruction of the mitral valve or embolic events.
The echocardiographic hallmark of atrial myxoma is a well-circumscribed, pedunculated mass attached near the fossa ovalis. Transesophageal echocardiography (TEE) is especially useful in visualizing the attachment site and mobility of the myxoma.
Other cardiac masses have different typical locations: papillary fibroelastomas usually arise from valvular surfaces (often aortic or mitral valves), sarcomas are rare malignant tumors that can invade multiple areas, and lipomas usually involve the atrial septum but spare the fossa ovalis and have a characteristic echogenic appearance.
The 'Textbook of Clinical Echocardiography' describes atrial myxomas as mobile masses attached to the fossa ovalis in the left atrium and emphasizes their characteristic appearance on TEE imaging, which is critical for diagnosis and surgical planning.
Which method is useful for obtaining a good quality pulmonary vein spectral Doppler waveform for evaluation of diastolic function?
Comprehensive and Detailed Explanation From Exact Extract:
Pulmonary vein Doppler signals have low velocity and low frequency components that can be filtered out by standard Doppler wall filters. To obtain a good quality spectral Doppler waveform for diastolic function evaluation, the wall filter settings should be lowered or adjusted to allow low frequency signals to be detected and displayed clearly.
Non-imaging transducers and continuous wave Doppler are not appropriate for pulmonary vein Doppler because spatial resolution and site localization are required. Filtering out low frequency signals would degrade the quality of the pulmonary vein waveform.
This is detailed in ASE Doppler imaging and diastolic function assessment protocols12:ASE Diastolic Function Guidelinesp.85-9016:Textbook of Clinical Echocardiography, 6ep.125-130.
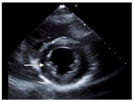
Which wall is indicated by the arrow on this image?

The echocardiographic image is a parasternal long axis or apical view showing the left ventricle. The arrow points to the wall segment located inferiorly, corresponding to the inferior wall of the left ventricle. The inferior wall is typically visualized in parasternal long axis and apical views as the posterior aspect of the ventricle.
Other options correspond to different walls: anterior is anterior septal wall, anterolateral and inferolateral refer to the lateral wall regions. Accurate wall identification is critical for regional wall motion analysis and coronary artery territory correlation.
This segmental wall identification is detailed in adult echocardiography and ASE chamber quantification guidelines12:ASE Chamber Quantification Guidelinesp.90-9516:Textbook of Clinical Echocardiography, 6ep.140-145.
Which maneuver aids in uncovering potential diastolic dysfunction while performing pulsed wave Doppler of the mitral valve?
The Valsalva maneuver transiently reduces preload, which can unmask or exaggerate diastolic dysfunction during mitral inflow Doppler assessment. During Valsalva, changes in mitral E and A wave velocities can differentiate between normal and pseudonormal filling patterns by observing alterations in filling pressures.
Hand grip, leg air cycling, and squatting affect afterload and preload differently but are less specific for assessing diastolic dysfunction via mitral Doppler.
This technique is outlined in the 'Textbook of Clinical Echocardiography, 6e', Chapter on Diastolic Function Assessment and Maneuvers20:210-215Textbook of Clinical Echocardiography.
Which of the following occurs during the strain phase of the Valsalva maneuver?
During the strain phase of the Valsalva maneuver, intrathoracic pressure increases significantly due to forced expiration against a closed glottis. This elevated intrathoracic pressure compresses the thoracic veins, leading to decreased venous return to the heart, which causes a reduction in preload (the volume of blood filling the ventricles during diastole). This reduction in preload is transient and results in decreased stroke volume and cardiac output.
This physiologic response is exploited during echocardiographic evaluation to unmask pseudonormal filling patterns of the left ventricle and to assess diastolic function. For example, during the strain phase, the early mitral inflow velocity (E wave) decreases due to reduced preload, and the E/A ratio can normalize or reverse if diastolic dysfunction is present.
The strain phase does not decrease afterload; in fact, afterload can transiently increase during other phases, but the hallmark of the strain phase is decreased preload.
This explanation is detailed in the 'Textbook of Clinical Echocardiography, 6e,' which explains the hemodynamic changes during the Valsalva maneuver and its clinical application in echocardiographic assessment of diastolic function .
Full Exam Access, Actual Exam Questions, Validated Answers, Anytime Anywhere, No Download Limits, No Practice Limits
Get All 139 Questions & Answers